As children grow and develop, their teeth and jaws are constantly changing. While many children have no significant dental issues, others may develop bite problems, also known as malocclusions, that can affect their oral health and overall well-being. Identifying these problems early is essential for proper treatment and prevention of long-term complications. In this article, we’ll explore the most common bite problems in children and explain why early intervention by an orthodontist is important.
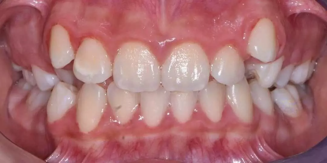
1. Overbite
An overbite occurs when the upper front teeth significantly overlap the lower front teeth. In severe cases, the lower teeth may even bite into the roof of the mouth, causing discomfort or damage to the surrounding tissues. Children with overbites may also experience issues with speech or difficulty chewing. Overbites are among the most common bite issues in children. Early treatment is important to prevent problems such as tooth wear, gum irritation, and jaw pain later in life.
2. Underbite
An underbite is the opposite of an overbite, where the lower front teeth extend beyond the upper front teeth. This condition can create an imbalance in facial appearance and may interfere with proper chewing and speaking. Underbites are often caused by disproportionate growth of the lower jaw, and in severe cases, they can lead to issues with jaw function and overall facial structure.
Addressing an underbite early can help avoid more complex treatments or surgery in the future.
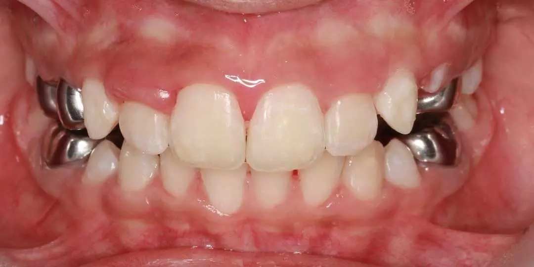
3. Crossbite
A crossbite occurs when the upper teeth sit inside the lower teeth when biting down, either on one side of the mouth or both. This misalignment can affect both the front and back teeth. Crossbites can cause uneven wear on the teeth, gum issues, and even facial asymmetry if left untreated.
Your child’s orthodontist may recommend early treatment for crossbites to correct the jaw alignment while the child’s bones are still growing, which helps prevent further complications.
4. Open Bite
An open bite is when the upper and lower teeth do not meet when the mouth is closed, leaving a gap between them. This can happen in the front (anterior open bite) or the back (posterior open bite) of the mouth. Open bites can be caused by thumb sucking, prolonged pacifier use, or tongue thrusting during swallowing. They can interfere with proper chewing and speech and can lead to more severe dental issues if not treated. Early orthodontic intervention can help close the bite and restore proper function.
5. Crowding
Crowding occurs when there isn’t enough space in the jaw for all the teeth to align properly, causing teeth to overlap or rotate. This is a common issue in both children and adults, and it can make brushing and flossing difficult, increasing the risk of tooth decay and gum disease. Orthodontic treatment, such as braces or expanders, can help create the necessary space for the teeth to grow in properly and avoid future dental problems.
6. Spacing Issues
Opposite to crowding, spacing issues occur when there is too much room between the teeth. This can result from missing teeth, oversized jaws, or teeth that are smaller than normal. While some spacing issues may not cause immediate concern, large gaps can affect a child’s bite and speech development. Your child’s orthodontist can recommend treatment options to close gaps and improve the alignment of the teeth.
Why Early Intervention Matters
The American Association of Orthodontists emphasizes the importance of early orthodontic evaluations, ideally by age 7. At this stage, your child’s orthodontist can identify potential bite problems and determine if early treatment is needed. Early intervention can:
- Guide jaw growth for better alignment
- Create space for crowded teeth
- Reduce the need for more extensive treatment in the future
- Improve appearance and self-esteem
- Protect teeth from wear and damage
Orthodontists are specially trained to diagnose and treat malocclusions and other dental alignment issues in children. By consulting with an orthodontist early, you can help ensure your child’s teeth and jaw develop properly, setting the foundation for a lifetime of healthy smiles.
To learn more or schedule a consultation with any of our Specialist Orthodontists at Harmony Medical Center, visit our clinics in Dubai or Abu Dhabi or call us at 04 395 5113 or 800 333 444. We’re here to help guide you through every step of your child’s dental journey, ensuring they receive the care they need to achieve a healthy and aligned smile.


