fbpx
Disclaimer
To our valued patients, please beware of false online offers promising free treatments at Harmony Medical Center.
Book your appointment
Loading booking form…
Disclaimer
To our valued patients, please beware of false online offers promising free treatments at Harmony Medical Center.
Send an enquiry
EnglishEnglish
EnglishEnglish
العربيةالعربية
Cosmetic Dentistry in Dubai and Abu Dhabi

Cosmetic Dentistry

Your journey to a confident smile starts here.

We believe in the extraordinary power of a beautiful and confident smile. After all, a smile is more than just aesthetics; it's about igniting a radiance within you that’s ready to light up any room with your confidence.

Cosmetic dentistry allows you to improve aspects of your teeth that make you feel self-conscious when you smile. Whether you have gaps in your teeth, your teeth are misshaped, severely stained and discolored, or you have a gummy smile, our Smile Makers can help.

Benefits of choosing cosmetic dental treatments

at Harmony Medical Center

Beautiful Smiles

by Our Smile Makers

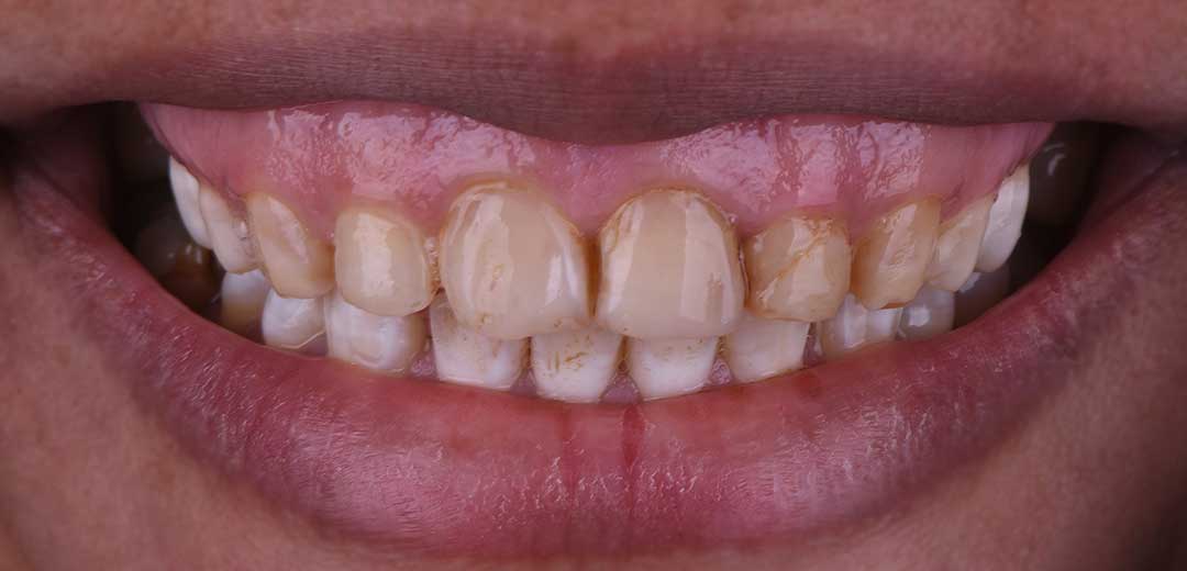
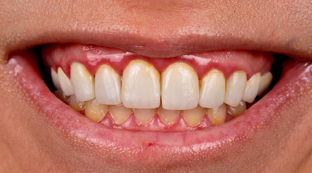
Before Veneers Treatment
Before
After Veneers Treatment
Veneers by Dr. Oussama Alaoui
Before Smile Makeover
Before
After Smile Makeover
Veneers by Dr. Oussama Alaoui
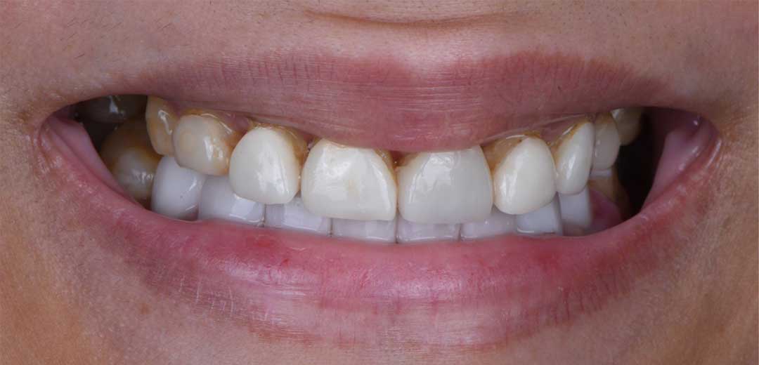
Before Crowns Treatment
Before
After Crowns Treatment
Crowns by Dr. Mohammad Al Shallah
Before Gum Treatment
Before
After Gum Treatment
After Gum Treatment
Before Teeth Whitening
Before
After Teeth Whitening
After Teeth Whitening

Types of Cosmetic Dental Treatment

Our mission at Harmony is to enhance your natural beauty, ensuring that your smile feels like an authentic extension of who you are. Our dentists and specialists in Dubai and Abu Dhabi offer a range of aesthetic dental treatments that are tailored to you.

Teeth Whitening Patient at Harmony Medical Center

Teeth Whitening

Our in-office and home teeth whitening treatments are designed to safely brighten your smile by removing stains and discoloration, leaving your teeth looking fresh and more vibrant.

Veneers

Veneers are thin, custom-made shells that cover the front surface of your teeth. They provide a natural and uniform appearance, concealing imperfections and creating a stunning, flawless smile.
A smiling patient at Harmony Medical Center showcasing her beautiful new veneers.
A smiling patient at Harmony Medical Center showing beautiful, healthy, and even gums.

Gummy Smile Treatment

Our gummy smile treatment is tailored to individuals who feel their smiles reveal too much of their gums. We use specialized techniques to enhance the balance between your gums and teeth and create a more harmonious smile.

Digital Smile Design

Digital Smile Design is a cutting-edge dental technology that allows us to create a personalized roadmap for your smile makeover. With DSD, you can see your new smile even before committing to any treatment.
Before and after Digital Smile Design showing a full upper arch transformation with improved tooth shape and alignment.

Smile Makeover

Confidently beautiful inside and out.

These are personalized treatments that combine various cosmetic procedures to transform your smile, addressing multiple aspects of your facial features and aesthetics to help you achieve the perfect, natural look.

Harmony Medical Center female patient showcasing a beautiful, natural-looking smile after a smile makeover treatment.