Dr. Najwana Attisha is an enthusiastic Specialist Orthodontist who has been practicing dentistry for nearly 25 years.
After graduating from Baghdad University, Iraq, in 2001, she pursued her Master's in Orthopedics & Dentofacial Orthopedics from the European University College with a Certificate of Specialization in Orthodontics from Malmö University in Sweden.
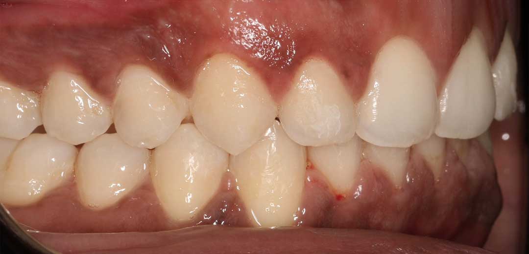
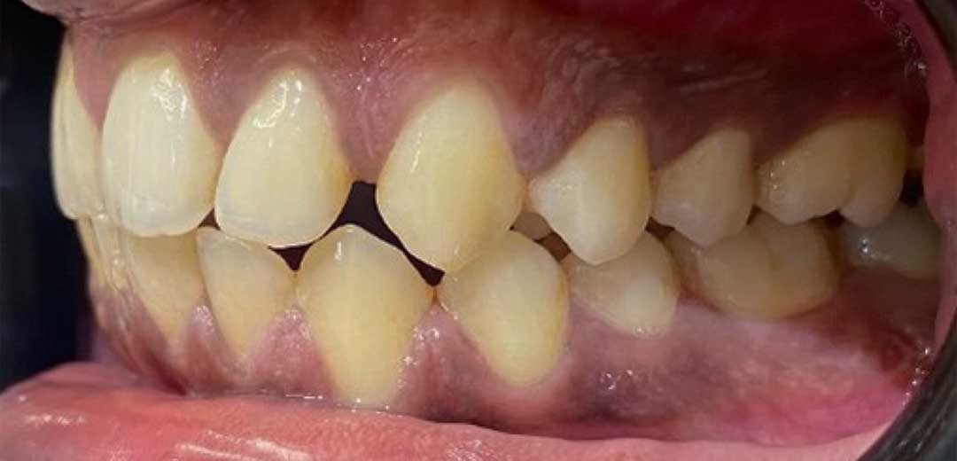
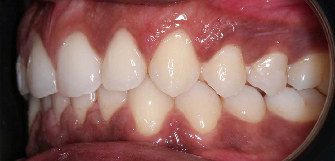
Dr. Najwana treats both children and adults. Her expertise includes treatments with ceramic and metal braces, Invisalign, surgical orthodontics for jaw correction, and interceptive orthodontics for growing children.
She stays current with the advancements in her field through international conferences and workshops, ensuring her patients benefit from the most up-to-date treatments. With her dedication and broad skill set, Dr. Najwana is a trusted orthodontic specialist who is committed to enhancing her patients’ smiles and oral health.
She speaks English and Arabic.