fbpx
Disclaimer
To our valued patients, please beware of false online offers promising free treatments at Harmony Medical Center.
Book your appointment
Loading booking form…
Disclaimer
To our valued patients, please beware of false online offers promising free treatments at Harmony Medical Center.
Send an enquiry
EnglishEnglish
EnglishEnglish
العربيةالعربية

Invisalign

Straighten your teeth the invisible way.

Certified Invisalign Diamond Provider logo - Harmony Medical Center

Did you know that over 18 million people around the world had Invisalign treatment to straighten their teeth? Invisalign can treat different cases, such as gapped teeth, crowded teeth, overbites, underbites, crossbites, and open bites.

Invisalign clear aligners offer an alternative treatment to braces for teens and adults who are looking for a discreet method to improve their smile. They are removable and virtually invisible, gentle on the gums, yet effectively move your teeth into their ideal position.

A photo of Italian Orthodontist,  Dr. Paolo Bellini, with a patient at Harmony Medical Center in Dubai

Special Offer

5O% off Invisalign

Starting from AED 5,000
(Regular price starting from AED 10,000)

Benefits of Invisalign Treatment

Invisalign clear aligners are virtually invisible, ensuring a discreet orthodontic journey that doesn't compromise your appearance.
Invisalign aligners are smooth, comfortable, and gentle on your gums.
You can remove your Invisalign aligners during meals and enjoy your favorite food without restrictions.
Cleaning your aligners is simple, and your daily oral hygiene routine remains hassle-free.
Properly aligned teeth are easier to clean, reducing the risk of cavities, gum disease, and other oral health issues.
Invisalign technology enables precise planning and tracking of your treatment, leading to faster results and fewer office visits.

Orthodontic Cases Suitable for Invisalign Treatment

Invisalign treatment is suitable for children, teens, and adults, offering a discreet and comfortable alternative to traditional braces. It can treat a wide range of orthodontic issues, including:

Crowded Teeth

When teeth are too close together, Invisalign can gently shift them into proper alignment.

Gaps in Teeth

Invisalign can close spaces between teeth, creating a more even and harmonious smile.

Overbite

When the upper teeth overlap the lower teeth excessively, Invisalign can correct this issue.

Underbite

Invisalign can also address underbites, where the lower teeth protrude further than the upper teeth, although severe cases may require additional treatment.

Crossbite

This occurs when some upper teeth bite inside the lower teeth, and Invisalign can effectively correct it.

Open Bite

When the upper and lower teeth don't meet when the mouth is closed, Invisalign can help close this gap.

Your Invisalign Journey

at Harmony Medical Center

Your Invisalign journey begins with a consultation with one of our Invisalign-certified Specialist Orthodontists. You will visit your orthodontist approximately every 6-8 weeks to assess your progress and receive your next set of aligners. Typically, Invisalign aligners have to be worn for 20 to 22 hours a day to achieve the best results.

Invisalign Treatments

by Our Smile Makers

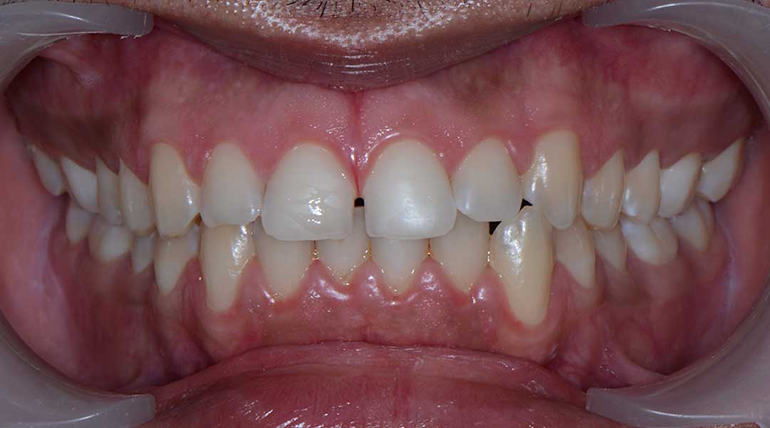
Before Invisalign Treatment
Before
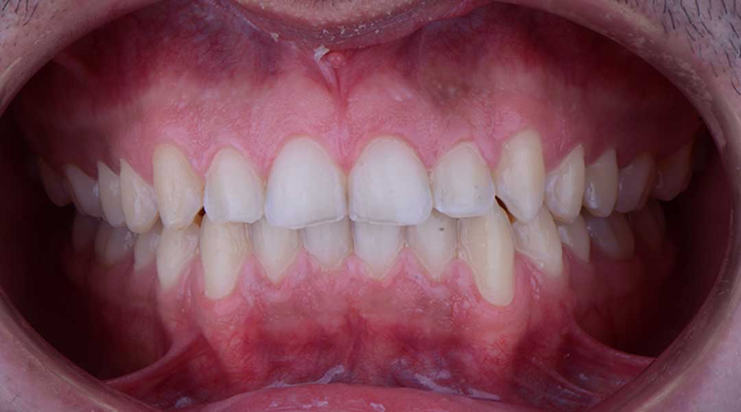
After Invisalign Treatment
Invisalign by Dr. Iyad Al Samman
Before Invisalign Treatment
Before
After Invisalign Treatment
Invisalign by Dr. Mohammad Baderaddeen

Invisalign FAQs

Invisalign offers the freedom to enjoy your favorite foods and beverages without restrictions. Here's what to keep in mind:

The average treatment time with Invisalign is 12-18 months, but this can vary depending on the complexity of your case.

The cost of Invisalign treatment can vary depending on the complexity of your case and how long your orthodontic treatment will take. However, now is a great time to start—Harmony Medical Centers in both Dubai and Abu Dhabi are currently offering 50% off Invisalign, with prices starting from just AED 5,000. This limited-time offer also includes a free orthodontic consultation, free dental check-up, free panoramic X-ray, a complimentary digital smile preview, and even a free home whitening kit. To make it even easier, interest-free payment options are available.

You may experience some mild discomfort when you first start wearing a new set of aligners, but this typically goes away within a few days.

You should brush and floss your aligners daily and clean them with a special cleaning solution. When not in use, keep them in their case to prevent them from getting lost or damaged.

Some people may experience a slight lisp when they first start wearing Invisalign, but this usually goes away within a few days as they adjust to the aligners.

Once you have completed your Invisalign treatment, you will be recommended to wear retainers to prevent your teeth from shifting back. Your orthodontist will give specific instructions on how often you’ll wear yours.

Yes, we do. We offer flexible installment payments through Tabby and Tamara, allowing you to split your payment into 4 equal monthly installments.

Our Certified Invisalign Providers in Dubai & Abu Dhabi